1. ホーム
  2. 外来
  3. 人工関節外来

人工関節外来

患者さまとご家族に目線を合わせて
退院後まで一貫したサポートを

当院では一般病棟と回復期リハビリ病棟があるので、リハビリのために転院する必要がなく、手術からリハビリまで一貫して治療を行うことができます。

退院後も引き続きサポートいたしますので、患者様にもご家族にも安心していただけると思います。

専門医のご紹介

澤 幹也先生

澤 幹也

人工股関節担当

吉岡 徹先生

吉岡 徹

人工膝関節担当
人工股関節担当

診察日

診療時間
午前
9:00~12:30

吉岡
午前
14:00~18:00

人工関節外来について

主な疾患

変形性膝関節症が最も多い疾患で、それに伴う半月板損傷やその他リウマチの患者さまが多くおられます。年代としては60代から80代までの方が一番多く、中には50代や90代の方で人工膝関節手術を受けられる方もおられます。

若いうちに人工膝関節を入れると、数十年後に入れ替えの手術を行う可能性も出てきますが、50代からの20年と70代からの20年ではやりたいことやできることも大きく変わってきますので、早く痛みをとってやりたいことをやる方がよいのではないでしょうか。

人工膝関節置換術を受ける流れ

外来受診を受けていただき、まずは保存療法をお勧めします。それでも痛みが続き、日常生活に支障が出る場合は人工関節手術をお勧めします。当院では基本的に手術の前日に入院していただいております。術後は通常翌日からリハビリをはじめ10日~2週間でリハビリ病棟に移ります。当院では、麻酔科医師と連携して疼痛コントロールをしっかり行ないますので、リハビリもスムーズに進めることができます。

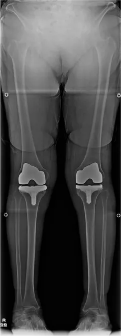
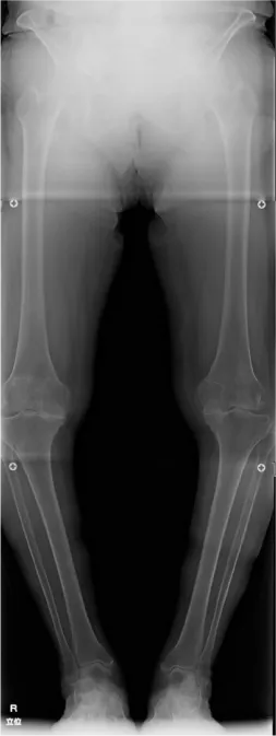
人工膝関節置換術

人工膝関節置換術は、傷んだ関節表面を切除し、金属やセラミック、ポリエチレンなどで作られた人工の関節に置き換える手術です。虫歯を削って被せ物をするような手術です。現在日本では年間9万件以上行われているといわれています。

近年、人工膝関節置換術は、人工関節自体のデザインや素材が飛躍的に良くなり、また手術方法の発達により、15〜20年以上長期間でも約90%が入れ替えを必要としないで済むと報告されています。

当院では、術後安定して歩ける膝、良好な機能獲得を目標に、個人個人の膝の形態に合わせたオーダーメイドの人工関節手術を行っております。骨の形は立体的に人それぞれ少しずつ異なっており、術後良好な機能を獲得するためには、それぞれの骨の形に合った手術を行うことが理想的です。

当院では術前のCT画像をコンピューターに取り込み、特別なソフトウエアを使用して、手術を受けられる方個々の骨の形に合うように手術前計画を立てています。

さらにその計画を元に正確な手術ができるよう、最新のARポータブルナビゲーションを使用して手術を行っております。

この手術法により、より正確な人工関節の設置が可能となり、より長期間の関節機能維持と膝の痛みの改善が期待されます。

しかも変形が高度な膝や再置換膝に対しても対応することができます。

3次元術前計画
ARポータブルナビゲーション
  • O脚膝 術前
  • 人工関節置換術後
  • 高度破壊膝術前
  • 術前計画
  • 術後

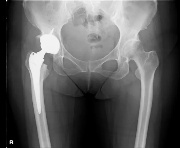
人工股関節置換術

主に変形性股関節症に対して行われる手術です。人工関節の中では、膝関節に次いで多く、日本で年間約7万件行われていると言われています。人工関節材料や手術方法が目覚しく発展し、耐用年数は大幅に伸びています。

現在は手術後20年経過しても、約80%の患者さんで入れ替えが不要と言われています。当院では膝関節同様、手術前に撮影したCTを元に、3次元的な術前計画を行い、個々の骨形態に対し適格な設置位置を確認しています。さらに術中簡易ナビゲーションを使用し、より正確な設置ができるよう心がけています。人工股関節手術は骨を扱う手術のため、術中に骨から出血を起こします。

当院では、手術中に出血した血液を回収し、専用の機器で不純物を取り除き、洗浄した後に輸血をする、術中回収式自己血輸血を導入しています。この方法により、いわゆる通常の輸血を行う頻度を減らすことができます。

3次元術前計画
  • 術前レントゲン
  • 術後レントゲン